さいたま市武蔵浦和で歯科医院を開業している、なると歯科院長小林成人のブログです。 総合的な歯科治療(インプラント、審美診療、ダイレクトボンディング、セラミック治療、ブリーチング、ガムピーリング、矯正、歯周外科、小児矯正)を得意としています。 院長が一人で全ての診療を行うため、インプラントはA歯科医院で、矯正はB歯科医院で、根管治療はC歯科医院で、移植はD歯科医院でという事はありません。 全て当院で総合的な治療を行う事ができます。 広く深くをモットーに日々自己研鑽に勤しんでおります。
2013/05/29
2013/05/26
大人の矯正治療 Adult Orthodontic Treatment
こんにちは さいたま市なると歯科院長の小林成人です
大人の矯正症例
成長期の子供の矯正と違って大人は成長が止まっているため
矯正治療が少し難しいです
大人の矯正症例
成長期の子供の矯正と違って大人は成長が止まっているため
矯正治療が少し難しいです
![]() |
| 叢生 歯が重なっているのが気になって来院された40前後の女性 |
![]() |
| 歯が重なって生えていると見た目が悪いだけでなく 食べカスがつきやすく、歯磨きも難しく 歯石がつきやすくなってしまいます |
![]() |
| そのため虫歯や歯槽膿漏になるリスクが高くなってしまいます |
![]() |
| もちろん人の2倍3倍丁寧に歯磨きをして、 歯科医院でマメにメンテナンスを受けて頂けば 大丈夫かもしれませんが 歯並びがいい方の方が有利です |
![]() |
| 矯正は何歳までできますかという質問を受けますが 何歳でもできます 40歳でも80歳でもできます |
![]() |
| この程度の混雑具合でしたら、1本も抜歯する事なく 矯正できます |
![]() |
| ブラケットとワイヤーを装着して矯正開始です |
![]() |
| 1年後 綺麗に並びましたね もう笑うときに歯を隠さなくても大丈夫です 自信を持って歯を見せられます |
![]() |
| 前歯もしっかり噛んでアンテリアルガイダンスも確立しています |
![]() |
| これなら歯磨きはしやすいですよね |
![]() |
| 食事中に食べカスがつまる事もなくなりました 1年間お疲れさまでした |
2013/05/24
2013/05/22
2013/05/19
ダイレクトボンディング 正中離開 Direct Bondeing Restoration Diastema Case
こんにちは さいたま市なると歯科院長の小林成人です
すきっ歯の治療例を見てみましょう
すきっ歯の治療例を見てみましょう
![]() |
| 前歯のすきっ歯が気になって来院された女性の患者さん 確かに気になりますね 隙間も有りますし、ねじれも有ります 歯は少し小さいです 矯正治療で歯をまっすぐにしてから ダイレクトボンディングで治療するのが理想的ですが 患者さんは期間のかかる矯正治療はしたくないとの事で 何とかダイレクトだけで挑戦してみる事にしました |
![]() |
| 治療後 歯は全く削らずに詰め物を貼付けています ねじれた歯がまっすぐに見えるように工夫しています 実際はまっすぐにはできないのですが、錯覚を利用して まっすぐっぽくみせています |
![]() |
| 斜めから見てもいいですね 1回でおわるのがダイレクトのいいところです 通常の食べ物で取れる事は有りませんが、硬いおせんべいや 氷、瓶ビールの栓を歯で開ける、爪を噛むなどしなければ大丈夫です 治療回数 1回1時間 |
2013/05/16
オールセラミック・クラウン 3M Lava Crown
こんにちは さいたま市なると歯科院長の小林成人です
オールセラミッククラウンの症例
オールセラミッククラウンの症例
![]() |
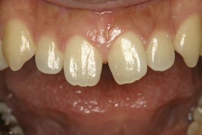
| 右上1番(向かって左側の上前歯真ん中)が変色して気になるとの事で 来院されました |
![]() |
| 反対側も気になるところですが、予算の都合で今回は 1本のみ治療することになりました |
![]() |
| 白い詰め物がつぎはぎ状態です |
![]() |
| 全周1.5〜2.0mm削って仮歯を入れ |
![]() |
| 翌週型取りです 歯茎の中まで綺麗に型取りできるように 歯肉圧排糸を2本いれ、型取りの直前に1本外してとります もう1本も型取り後に外します |
![]() |
| 歯肉縁下まできれいに型が取れました これで段差のない適合のいい歯ができそうです |
![]() |
| 2週間後、オールセラミッククラウンが完成しました 金属を全く使っていないので、透明感があって自然な仕上がりにできます またセラミックは抗菌作用が有りますので汚れがつきにくくついても落ちやすいので 虫歯や歯周病になりにくい材料です 接着剤も保険と違って一番よくくっつく物を使えますので 取れる心配はほとんど有りません |
![]() |
| 綺麗に入りました 隣の歯も綺麗にしたいところですが、いずれやりましょうね 治療回数 1時間×3回 自費診療となっております |
2013/05/11
登録:
コメント (Atom)


































