さいたま市武蔵浦和で歯科医院を開業している、なると歯科院長小林成人のブログです。 総合的な歯科治療(インプラント、審美診療、ダイレクトボンディング、セラミック治療、ブリーチング、ガムピーリング、矯正、歯周外科、小児矯正)を得意としています。 院長が一人で全ての診療を行うため、インプラントはA歯科医院で、矯正はB歯科医院で、根管治療はC歯科医院で、移植はD歯科医院でという事はありません。 全て当院で総合的な治療を行う事ができます。 広く深くをモットーに日々自己研鑽に勤しんでおります。
2014/09/20
2014/09/18
2014/09/13
ISCT西堀勉強会 Inter-disciplinary Study Club Tokyo
こんにちは さいたま市なると歯科院長の小林成人です。
ISCT西堀勉強会 Inter-disciplinary Study Club Tokyoに参加してきました。
今回は論文抄読。
1本目は
Extraction Socket Healing in Humans
After Ridge Preservation Techniques:
Comparison Between Flapless and
Flapped Procedures in a Randomized
Clinical Trial
抜歯した部位にRidge Preservation(骨が痩せないように人工骨を使って骨を温存する方法)する際に、歯肉を剥離しないで行う方法と、剥離して行う方法の違いについて考察した論文でした。全く剥離しないで行うのは難しいので、最小限にとどめたいところです。
2014/09/11
2014/09/05
2014/09/04
インターナルブリーチ walking bleach
こんにちは さいたま市なると歯科院長の小林成人です。
今回のケースはブリーチング。
今回のケースはブリーチング。
![]() |
| 矢印の2本の歯が神経がない為に変色してきました。 暗い色で確かに気になります。 削って被せる治療を勧められることが多いと思いますが 歯がある程度残っている場合は当院では出来るだけ歯を削らないよう ブリーチングをお勧めしています。 神経を取るときにあけた裏側の詰め物を外して 中にブリーチング材をいれて、数週間おきにお薬を交換します。 |
![]() |
| ブリーチング後。 ストロボの電池が新しいので、全体的に明るく映ってしまっていますが 明るく白い歯に戻せました。 歯を一切削らない事がメリットです。 治療部位は2本だけです。 ブリーチングできない事もありますので、詳しくは診察が必要です。 治療回数 3回 自費診療 |
2014/09/03
ダイレクトボンディング Direct Bonding Restoration
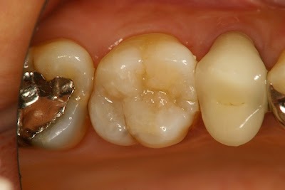
こんにちは さいたま市なると歯科院長の小林成人です。
ダイレクトボンディングの症例。
ダイレクトボンディングの症例。
![]() |
| アマルガムという銀歯が詰められている右上6番。 虫歯になっていた為、白い詰め物ダイレクトボンディングで治療することになりました。 |
![]() |
| 金属と虫歯の部分を必要最小限削って、 |
![]() |
| エナメル質をリン酸エッチングして、 |
![]() |
| ボンディング材を置いてから色を組み合わせて詰めていきます。 詰める方法はいくつか有りますが、このケースでは3Dレイヤリングテクニックを 使って色を出していきました。 |
![]() |
| 完成です。 自然な感じに仕上がりました。 これが人工の詰め物だと気付く方はあまりいないのではないでしょうか。 治療時間 1時間 1回 保険外診療となっております。 銀歯を白くしたい方はご相談ください。 もう少し大きな銀歯はセラミックインレーで 被せ物はオールセラミッククラウンで対応できます。 |
2014/09/01
登録:
コメント (Atom)

















