こんにちは さいたま市なると歯科院長の小林成人です。
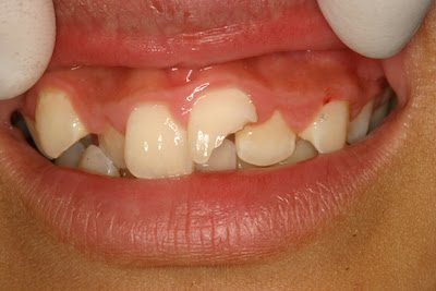
転んで前歯が欠けてしまった小学生のお子さんの治療例です。

転んで前歯が欠けてしまいました。
永久歯ですので一生使う歯です。
親御さんはびっくりされると思いますが、落ち着いてまずはお電話ください。
予約なしでできるだけ急患対応します。
もしできれば欠けたかけらを探して持ってきてください。
なければないで大丈夫です。
できるだけ受傷当日が望ましいですが、夜間等で無理な場合は
翌日でも構いません。
当院が休診の日は、申し訳ありませんがやっている歯科医院どこでもいいので
受診してください。

レントゲンを撮ると、スポット露髄(神経が出ている状態)しています。

赤い点で出血している部分です。

かけらがなかったので、新しくしましょう。
よく消毒後、MTAセメントで直接覆髄して、レジン充填しました。
これで当面は一安心です。
数ヶ月かけて、徐々に神経が死んでしまう場合もあります。
そうなると見てすぐ分かるくらいに黒変しますので、根管治療が必要になります。
そうでなければ、この1回で治療は終了です。
歯が丸ごと1本抜けてしまった場合も、慌てず騒がず抜けた歯を探して乾燥させない状態で
持ってきてください。
元に戻せる場合もあります。
とりあえず、飲み込まないようにお口の中に舐めた状態で持ってきてください。
牛乳の中に入れるのもいいです。
カラカラに乾燥してしまうと細胞が死んでしまうので成功率が下がります。
転んで前歯が欠けてしまった小学生のお子さんの治療例です。

転んで前歯が欠けてしまいました。
永久歯ですので一生使う歯です。
親御さんはびっくりされると思いますが、落ち着いてまずはお電話ください。
予約なしでできるだけ急患対応します。
もしできれば欠けたかけらを探して持ってきてください。
なければないで大丈夫です。
できるだけ受傷当日が望ましいですが、夜間等で無理な場合は
翌日でも構いません。
当院が休診の日は、申し訳ありませんがやっている歯科医院どこでもいいので
受診してください。

レントゲンを撮ると、スポット露髄(神経が出ている状態)しています。

赤い点で出血している部分です。

かけらがなかったので、新しくしましょう。
よく消毒後、MTAセメントで直接覆髄して、レジン充填しました。
これで当面は一安心です。
数ヶ月かけて、徐々に神経が死んでしまう場合もあります。
そうなると見てすぐ分かるくらいに黒変しますので、根管治療が必要になります。
そうでなければ、この1回で治療は終了です。
歯が丸ごと1本抜けてしまった場合も、慌てず騒がず抜けた歯を探して乾燥させない状態で
持ってきてください。
元に戻せる場合もあります。
とりあえず、飲み込まないようにお口の中に舐めた状態で持ってきてください。
牛乳の中に入れるのもいいです。
カラカラに乾燥してしまうと細胞が死んでしまうので成功率が下がります。














































