2011/12/30

仕事納め 今年も1年間ありがとうございました

こんにちは さいたま市なると歯科院長の小林成人です

当院は、本日の診療で仕事納めとさせて頂きました

ブログをみて頂いている皆様、今年一年間お疲れさま、そしてありがとうございました

こうして今年も無事一年を終える事ができるのも、嫌な顔一つしないで

仕事をサポートしてくれるスタッフのお陰です

いつも助けてもらって感謝しています

診療の後は恒例の大掃除、忘年会でした

おいしいしゃぶしゃぶを頂きました

そして本日で残念ながら、退職してしまうUさん 5年間本当にありがとうございました

仕事ぶりはいつも完璧で妥協せず、一緒に仕事をしていてとても楽しかったです

故郷に帰ってもきっと活躍されるでしょう お元気で

こっち方面に来た時はいつでも顔を出してくださいね みな大歓迎ですよ






新年は1/4(水)9:00〜通常通り診療開始いたします

その間の、急患はさいたま市役所裏の


浦和休日急患診療所 さいたま市浦和区常盤6-4-18
さいたま市浦和区役所保健センター2F
TEL048-833-0119 

で受け付けておりますのでよろしくお願い致します







2011/12/28

インプラント 抜歯即時埋入+仮歯+無切開手術 immediate placement,immediate function,flapless surgery

こんにちは さいたま市なると歯科院長の小林成人です

今年最後のインプラント手術は、前歯部の抜歯と同時にインプラントを埋入

仮歯まで切開なしで行った難しい症例でした

これを一日で行うにはいくつか条件があります

・大きな感染、腫れ、痛みがないこと
・歯根より奥に既存骨が3mm以上残っている事
・ある程度、歯根周囲に骨が残っている事
・埋入トルクが35N以上でること

順番にみてみましょう
前歯の差し歯が取れてきてしまいました

ポストの先端で破折しています こうなっては残念ながら抜歯せざるを得ません

抜歯直後 無切開で、周囲骨を壊さないように細心の注意を払って抜歯しました
治療のなかで最も時間がかかるところです

既存骨を守るため、5つに分割して抜きました

歯肉縁下6mm 口蓋側よりに埋入
ヒーリングアバット装着

Nobel Active 3.5-11.5mm
理想的なポジションに埋入できました
40Nでたため仮歯まで同時につくります

temporary abutment


仮歯装着 この時点では咬ませていないため
やや短いですが、本歯は長さも揃えますよ
ここまでで2時間かかりましたが1日で仮歯まで入るので
歯がない状態で帰る事はありません

傷が治るまでこのまま4〜6ヶ月待って、本歯に仕上げていきます
アクセスホールもなかなかいい位置にきています
手術1週間後 無切開なので大きな腫れや痛みもなく順調です

2011/12/25

年末年始の診療時間

こんにちは さいたま市なると歯科院長の小林成人です

早いもので、もう一年も終わりですね

クリスマスはいかがお過ごしでしたでしょうか


当院では年末年始は

12/30(金) 朝10:00までの診療

12/31(土)〜1/3(火) 休診

1/4(水)9:00〜通常通り診療開始

となっております

その間の、急患はさいたま市役所裏の

浦和休日急患診療所 さいたま市浦和区常盤6-4-18
さいたま市浦和区役所保健センター2F
TEL048-833-0119 

で受け付けておりますのでよろしくお願い致します


2011/12/19

Q&A質問コーナー 3  なぜ歯科医院は予約制なのですか?

こんにちは さいたま市なると歯科院長の小林成人です

今回の質問は


なぜ歯科医院は予約制なのですか?来たもの順ではダメなのですか?
確かにほとんどの歯科医院では予約制をとっていて、多くの医科では順番制をとっています

歯科で予約制にする一番の理由は一人当たりの治療に時間がかかるからです

お医者さんの場合は一人当たりの治療時間が比較的短くてすみます 

2時間待ちの5分診療何ていわれてしまう事もありますが、

症状を聞いて、診断して、お薬を出すだけですむ場合はそんなに時間がかかりません 

自然治癒能力があるので、対処療法ですむ事も多いからですね 

例えば熱がでたら解熱剤を出して安静にしていればある程度自然に治癒してくれます

一方、歯科の場合は、自然治癒能力があまり期待できない分野です

一度虫歯で歯に穴があいてしまったら自然に穴が塞がる事はありません 

麻酔をして、虫歯を削って、型を取って次回詰め物をすると

だいぶ治療時間、治療回数を必要としてしまいます 

5分ではとても終わりません 

お薬を出すだけで虫歯が治れば時間がかからなくていいのですが、そうもいきません


  
歯槽膿漏で骨がなくなってしまっては、お薬を出すだけでは治癒しません 

丁寧に歯磨きをして頂いて、こびりついてしまった歯石を時間をかけて

除去していかないとどんどん悪化してしまいます 

お薬を出すだけの対処療法と違い根治療法になります 

そうです歯科治療は毎回が小手術なのです 内科ではなく外科なのです 

歯科だけが医科から独立しているのは自然治癒力が期待できない特殊な分野だからなのです

よって一回あたりの治療にどうしても20~30分 

時には1時間、2時間もかかってしまいます 
   
そのためほとんどの歯科医院ではスムーズに診療が行えるよう、

予約制にしているのです

どうしても休みが不定期で予約が取れない方は、予約制でない歯科医院が

たまにありますので探されてみてはいかがでしょうか


当院は予約制で診察しております 

ほぼ時間通りに開始し、5分以上お待たせする事はほとんどありません 

お約束した時間は遵守しております 

最近予約がとりにくくなっていてご迷惑をおかけしていますが、

手抜きをしないしっかりした診療を心がけておりますので、

一日に診察できる患者さんにどうしても限りがあります 

どうぞご理解いただけますようお願い致します



2011/12/16

根管治療 歯根端手術2年後  apicoectomy post 2years.

こんにちは さいたま市なると歯科院長の小林成人です

今回は歯根端手術の2年経過症例をみてみましょう

通常の根管治療で上手く治癒しなかった時や、高価な被せものをしていて外したくないとき

長い金属のポスト(心棒)が入っていて外せない時は手術で治します


右上2番(向かって左側2番目の歯)が腫れています

レントゲンで根の先端に大きな黒い陰(根尖病巣)がみえます
長い金属のポストは上手く外せなそうなので歯根端手術を行う事にしました

歯茎の中は大きな空洞がありました
本来は骨で埋まっている為、空洞はありません

膿の袋を奇麗に掻爬して、感染源の歯根の先端2mmを切除して
きちんと封鎖し、人工骨をいれ

縫合します

術直後
手術時間 40分

3週間後

6ヶ月後
2年後 白く写っているのは人工骨
徐々に骨に置き換わっていくでしょう
隣の歯もそろそろやらなければいけませんね

2011/12/14

根管治療 4年後 Root Canal Treatment post 4 years.

こんにちは さいたま市なると歯科院長の小林成人です

根にばい菌が感染してしまい、歯茎が腫れてしまい、

他院で抜歯するしかないといわれたそうです

確かに感染も大きく臨床症状もあり、保存は厳しいです

治療回数はかかりますが、何とか治療してみました

治療前 大きな黒い陰(根尖病巣)があります 膿が貯まっています

根管治療直後 (約3ヶ月後) 少し陰が小さくなってきました

4年後のレントゲン写真
陰は奇麗に消えました
抜歯しないで本当によかったですね
病巣が大きいと抜歯せざるを得ない時もありますが
当院ではなるべく残すようにしています
世の中にはすぐに抜歯してインプラントにする傾向がありますが
私は疑問に感じています
自分の歯にこした事はありません



2011/12/10

ISCT西堀勉強会

こんにちは さいたま市なると歯科院長の小林成人です

ISCT西堀勉強会に出席してきました

今回のケープレ担当は愛宕のS先生

アメリカのペンシルバニア大学で勉強された大変優秀な先生です

インプラントのマージナルボーンロスとソーサリゼーションに関する考察と

他院で行われたインプラント治療の10年ほど経過した症例をどのようにすべきかという

治療計画に関するディスカッションを行いました

大変悩みどころの多い症例でしたが、勉強になりました

ありがとうございました



2011/12/08

Q&A 質問コーナー 2  インプラントは何年持つのですか?

こんにちは さいたま市なると歯科院長の小林成人です


今回はよく患者さんに聞かれる質問です
インプラントは何年持つのですか?
大変難しい質問です 車は何年持つのかと少し似ていますでしょうか
お手入れの仕方で変わってしまうので、一概に何年とは答えにくいからです
歯を失う3大原因は
1 虫歯
2 歯周病
3 破折
です
1の虫歯は主に砂糖の過剰摂取や歯磨き不足によりおこります 
インプラントは虫歯になる事はありませんのでこの点は心配ありません
2の歯周病は主に歯磨き不足で歯垢や歯石がたまり歯の周りの歯茎、歯槽骨が
溶けてなくなってしまう病気です 
インプラントも歯周病(インプラント周囲炎)になりますので上手く磨けなかったり、
定期的な歯のお掃除をしないとインプラント周囲の骨が溶けてしまい
抜け落ちてしまいます
 歯周病で歯が抜けた場合、その部位はおそらくあまり磨けなかったと思われますので、
同じように磨けないと短期間で抜けてしまう事も考えられます 
インプラントは歯よりも歯周病になりやすいと考えてください 
歯周病は一度発症するとよくなる事はほとんどありません 
悪化するかよくて現状維持です 
適切なブラッシングと定期的なクリーニングが非常に大切です
3の破折は咬む力が強くて歯が割れてしまうと、割れ方によっては
抜歯になってしまいます 
咬合力の強い方、硬いものが大好きな方、食い縛りや歯ぎしりをする方は要注意です
 いくら頑丈なインプラントでも過剰な力が加われば、被せている部分(上部構造)や
インプラント本体(フィクスチャー)が壊れてしまう事があります
 インプラント本体が割れてしまうと除去せざるを得ません 

インプラントはきちんと歯磨きをして、定期的なクリーニングをして、
過剰な力がかからなければかなり長持ちします 
インプラントをしたらそれで治療が終わったということではなく、
そこからメンテナンス治療が始まると考えてください 
ちなみに私自身、自分の歯がもしなくなってしまったら、
迷わずインプラントにしてもらいます
但し、インプラントは一生持つから絶対大丈夫という先生は信用しない方がいいと思いますよ

インプラント本体(フィクスチャー)が水平的に折れてしまいました
他院で7年前に入れたそうです
よっぽど強い力がかかったのでしょう
この方はちなみに上顎の左右奥歯(自分の歯)も折ってしまいました

折れてきたインプラント
こんな事は滅多のありません
確率でいうと0.1%程度といわれています

上のインプラントが抜け落ちてきました
下のインプラントも歯周病(インプラント周囲炎、peri-implantitis)
を起こしています 他院で15年くらい前に入れたそうです

抜け落ちたインプラント
今はあまり使われなくなった、マシーンサーフェイスです


2011/12/06

銀歯を全て白く

こんにちは さいたま市なると歯科院長の小林成人です

この方は銀歯を全て白くしたくて来院されました

最近この治療が多いですね 皆さんやはり金属はいやなようです

私も銀歯を入れられるのは嫌です

治療前

治療後 奇麗になりました
左下6 EmaxCr
左下5  EmaxCr
左下4 Direct Bonding
右下4 Direct Bonding
右下⑦6⑤ Lava Zr Br
自費診療となっております
治療回数 8回



2011/12/04

Q&A質問コーナー 1

こんにちは さいたま市なると歯科院長の小林成人です

患者さんから寄せられた質問にお答えするコーナー

今回の質問は

なぜ歯医者さんで使う道具は金属製が多いのですか? というもの

金属製は見た目は冷たい印象があったり、痛そうな感じがしたりしてよくないのですが

金属製の道具は頑丈で壊れにくく、毎回行う滅菌作業にも耐えられるように

作られているからです

プラスチック製のものもあるのですが、耐久性が弱くてすぐ壊れてしまう為

あまり使われていません

また滅菌作業は120℃ほどで行う為、ものによっては溶けてしまいます

その為、多くの歯科医院で清潔な金属製がよく使われているのです








2011/12/03

白い詰め物 オールセラミックインレー Emax Inlay

こんにちは さいたま市なると歯科院長の小林成人です

銀の詰め物を白くしたくて来院されました

小さい場合はダイレクトボンディングで1回でできますが

中くらいだと型を取って2回かかります

大きいとかぶせないといけないので3回程度かかります

今回は中くらいの2回のパターンをみてみましょう

奥から2番目の歯 笑ったときに銀がチラチラ見えてしまうのが気になるそうです

金属を外して型を取り

翌週オールセラミックインレー(金属は使わない白い詰め物)を装着します
Emaxインレーという大変強度の高い材料を使用していますので
欠けてくる事はほとんどありません
従来のセラミックはやや強度に不安がありましたが、この材料は安心して使用できます
治療回数 2回

2011/11/29

小児矯正 咬合誘導 床拡大装置 Expansion Plate

こんにちは さいたま市なると歯科院長の小林成人です

子供の歯並びが叢生(ガチャ歯)になってしまって困っている方は多いと思います

ほとんどの方は顎が小さい割に歯が大きいため入りきらずにガタガタになってしまいます

そこで顎を広げて歯が並ぶスペースを確保するのが床拡大装置という

取り外し式の矯正装置です

成長期にあわせて広げるので、子供の時(小学生)にしかできない治療法です


顎が小さく犬歯が入るスペースがほとんどありません
写真でいうと2番目と3番目の間にもう一本入らなければいけません

下も窮屈そうです

このまま何もしないと4本抜歯して全顎矯正とかなり大掛かりなことになってしまいます

そこで床拡大装置
取り外し式で1日12時間以上はめて頂き、少しずつ顎を広げていきます

1年後 ここまで広がり、そこそこ入るようになりました


まだ顎は成長中なので、おそらくもう2年もすれば、何もしなくても
もっと奇麗に並ぶと思います
最小限の治療費で最大限の効果を発揮できました
4本抜かれないですみましたね
子供の歯並びでお困りに方はご相談ください



2011/11/27

知ってました? こういうのって有料な事を

こんにちは さいたま市なると歯科院長の小林成人です

こんなものが送られてきました

1ページ80万円






こういったたぐいのFAXが最近よく送られてきます

あなたは埼玉の名医100に選ばれました つきましては掲載料が○十万になります

インプラントの名医に選ばれました  掲載料は○○円ですよ

もちろん本当にきちんとした調査をして無料で情報を載せている本もあると思いますが、

なかにはこういったお金さえ出せば誰でも掲載する本もあります

患者さんはそういった事をどうやって調べればいいのでしょうか

こういった半ヤラセは医療従事者の間では常識なので、

我々がこういった本を購入する事はまずありません

タウン誌に掲載している医院広告もほとんど有料です


当院では広告は一切出しておりません

その費用があるのなら、その分、治療費を安くした方がいいですし

口コミに勝るものはないと考えています

皆様も、本を購入する際はよく考えて下さいね







2011/11/26

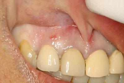
ISCT西堀勉強会 根面被覆 root coverage procedure

こんにちは さいたま市なると歯科院長の小林成人です

ISCT勉強会に参加してきました

ケープレ発表者はH部先生

根面被覆(root coverage)の2ケースでした

根面被覆とは歯茎が退縮してしまって根が露出してしまった部位に、

手術でもとの状態に戻すテクニックで、なかなか難易度の高い技術が要求されます

Millerの分類で4段階に分けられますが、今回の2症例はclass1(軽度)でした

難易度によって術式が変わるのですが

1 有茎歯肉移植 pedicle soft tissue graft
・側方移動術 laterally sliding flap
・二重乳頭弁移動術 double papilla flap
・歯冠側移動術 coronally repositioned flap
・半月状移動術 semilunar coronally repositioned flap
2 遊離歯肉移植 free soft tissue graft
・上皮化移植 epithelialized graft
・結合組織移植 subepithelial connective tissue graft
などたくさんの方法があります

1ケース目は歯冠側移動術+上皮化移植を組み合わせた症例 
見事に改善されていて素晴らしいケースでした

2ケース目はroot coverageと隣の部位の歯肉増大術(ridge augmentation)を一回で行ったケースで側方移動術+結合組織移植を組み合わせていました

なかなかいいアイデアで面白かったです
通常なら2回に分けて手術するところですが、この方法ならば1回ですむかもしれません
so nice!



2011/11/19

ダイレクトボンディング ソフトクランプ Direct bonding restoration used softclamp by Kerr


こんにちは さいたま市なると歯科院長の小林成人です

ダイレクトボンディングで私が愛用している道具の一つにソフトクランプがあります

ラバーダムをする際に従来ですと金属製のクランプを使用していたのですが

これが歯茎を押すと結構痛い時があるのですが、柔らかいクランプが発売されましたので

だいぶ痛くなくなりました

気楽に短時間で痛くないラバーダムを装着できるようになりました

これが柔らかいソフトクランプ

右下4番のアマルガムを白くしましょう

アマルガムを除去して隣の歯にソフトクランプを使ってオプチダムを装着します

詰めて完成 もちろん隣の銀歯もこのあとオールセラミックブリッジで白くしましたよ

動画も載せますがipadからは見られないかもしれません