2012/08/30

ダイレクトボンディング direct bonding restoration

こんにちは さいたま市なると歯科院長の小林成人です

今回もダイレクトボンディングの症例

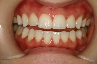
右上2番 矢印部分の変色が気になるので治療したいとの事
医学的にはCOなのでまだ削らないで経過観察でいいと思いますが
見た目が気になるとのことので、必要最小限だけ削って
 ダイレクトボンディングしましょう

変色部位のみ少し削ります 
拡大鏡を装着して削っていますので
削るのは最小限度です

大変小さい治療部位ですので難しいですが
5倍の拡大鏡で治療していますので、境目の線はこの倍率でも
まして肉眼原寸大でもみえません
奇麗になってコンプレックスがなくなって良かったですね
GC  KALORE BW 1色

2012/08/27

ダイレクトボンディング direct bonding restoration

こんにちは さいたま市なると歯科院長の小林成人です

今回もダイレクトボンディングの症例

左下7番 古いアマルガムを白く奇麗にします

アマルガムを除去してラバーダムをし

3Dレイヤリングテクニックで溝を細かく再現していきます
変色が強かったのでオペークを入れても良かったかもしれません
少し暗い色をひろってしまいましたが、奇麗になりました
治療回数 1回 約1時間

2012/08/22

本日のお花 today's flower

こんにちは さいたま市なると歯科院長の小林成人です

今回のお花は

ピンク色のお花が スプレー菊

黄色のお花が 女郎花(おみなえし)

緑色の実は野バラ

です

少しでも治療中の緊張が解けますように





2012/08/18

ダイレクトボンディング direct composite restoration

こんにちは さいたま市なると歯科院長の小林成人です

ダイレクトボンディングの症例

左下6番(画面中央)の銀歯をダイレクトボンディングで白くします
この銀歯はアマルガムといって日本ではほとんど使われなくなった
古いタイプの詰め物です

金属を外して、虫歯の部分を削り、2色の材料で色と形を再現します
なかなか奇麗にできました
治療中は拡大鏡をつけていますので細かな溝を再現したり、
細かな段差がないようにしたり
境目が分からないように注意して治療に当たっています

治療回数 1回 1時間
自費診療となっております
銀歯を白くしたくて、お悩みの方はご相談ください
いくつか方法があります

2012/08/15

夏期休診終了致しました

こんにちは さいたま市なると歯科院長の小林成人です

夏期休診中はご迷惑をおかけ致しました

8/15(水)9時より通常通り診察致しております

少しお待ちいただくと思いますが、急患の方もできるだけ対応致しますので

お電話の上、来院ください

休み前最終日大掃除後の新人歓迎会にて
小顔にみえるポーズのはずが、私だけ大顔に・・・
しまった もっと後ろに行けば良かった

2012/08/09

夏期休診のお知らせ summer vacation

こんにちは さいたま市なると歯科院長の小林成人です

当院は8/ 9 (木)〜8/14(火)まで夏期休診とさせていただきます

急患の方はさいたま市役所裏手 

さいたま市浦和休日急患診療所 までお願い致します

〒330-0061

埼玉県さいたま市浦和区常盤6丁目4-18市民保健センター2F

048-833-0119

8/15(水)9時より通常通り診察致します

休診期間中はご迷惑をおかけしますが

よろしくお願い致します


2012/08/08

ホワイトニング tooth whitening

こんにちは さいたま市なると歯科院長の小林成人です

今回は歯を白くするホワイトニングの症例

治療前
歯が全体的に黄色っぽくもっと歯を白くしたくて来院された患者さん
比較がしやすいように色見本と一緒に写真を撮ります
これがないと、カメラ側の露出やストロボ、ホワイトバランスを変えれば
簡単に白くした写真が撮れてしまうので、捏造できてしまいます
もっとも色見本をつけてもデジタル写真はソフトで色修正が簡単にできてしまいますが
私はそういった事は一切しておりませんよ

治療後

ご自宅で寝ている間に、専用のトレーに白くするお薬を入れていただくこと
3週間 だいぶ白くなりました
ホワイトニングの効果は永遠ではありません
数年でだいぶ戻ってしまいますので、白さを保ちたい方は
追加ホワイトニングが必要になります

色見本を外した状態
できるだけ同じ条件で撮影したいので
露出、焦点距離、シャッタースピード、ストロボ光量、ISO感度、ホワイトバランス
は全てマニュアルで同じ数値で撮影しています

お疲れさまでした
ホワイトニングは自費診療となっております

2012/08/06

花火大会 fireworks

こんにちは さいたま市なると歯科院長の小林成人です

先日2年ぶりに戸田花火大会が開催されました

自宅から少しだけみえるので楽しみにしていました

土曜日は仕事があるので、花火大会会場に赴く事は開業以来できていません

写真を載せますが、望遠で撮っているので実際はこんなに大きくはみえません・・・

皆さんは見られましたか










2012/08/04

オールセラミッククラウン

こんにちは さいたま市なると歯科院長の小林成人です

前回と同じ患者さんのオールセラミッククラウンの症例

抜歯の治癒を待つ間に銀歯を白くする事に

金属を外して形を整えて、後日型取りをして

オールセラミッククラウンの完成
保険の範囲だと銀歯になってしまいますが
保険外でしたら強度も高く、変色もしにくく、取れにくく、虫歯にもなりにくい
セラミックが使えます 
抗菌作用があり、汚れもつきにくいので歯磨きも簡単です
治療回数 3回

2012/08/03

今日のお花 today's flower

こんにちは さいたま市なると歯科院長の小林成人です

今回のお花は リンドウ(竜胆)


まだ開花していませんが、秋のお花だそうで咲くまでもう少しかかりそうです

少しでも癒されますように







2012/08/01

インプラント治療 dental implant treatment

こんにちは さいたま市なると歯科院長の小林成人です

今回はインプラント治療のケース

右下7番(みえている歯のもう一つ奥の部位)が痛いという事で
レントゲンを撮ってみると

感染した埋伏歯が隠れていました
(向かって左下一番奥)

抜歯して治癒を待ちます

5ヶ月後、インプラント埋入オペに入ります

それから3ヶ月後、固定式の歯が入っておしまい
力に耐えられるよう金属製にしました
横側は白くしてあります

いい位置に埋入できました
これで奥歯で噛めますね
治療期間 9ヶ月