2013/08/31

銀歯を白く E・Max Inlay

こんにちは さいたま市なると歯科院長の小林成人です

最近、銀歯を白くしたくていらっしゃる患者さんが増えてきました

左上4番 銀歯が入っています
さびやすく、汚れがつきやすく、虫歯になりやすくて、見た目もよくない銀歯を外して
綺麗なセラミックで治療することになりました
金属を外して虫歯の部分を削り、型取りをします

Emaxという頑丈で、綺麗で、プラークがつきにくく、とれにくい
セラミックを作製して


強力な接着剤で装着します
綺麗に入りました
どこを修復したのかほとんど分からないと思います
銀歯を白くしたい方は一度ご相談ください

治療回数 2回
自由診療となっております
1本 52500円〜

2013/08/29

今回のお花 Today's flower

こんにちは さいたま市なると歯科院長の小林成人です

今回のお花はトルコ桔梗

当院では少しでも診療中の緊張がほぐれるよう、生花を置くようにしています

癒されますように




2013/08/28

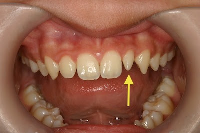
ダイレクトボンディング 矮小歯 Direct Composite Restoration

こんにちは さいたま市なると歯科院長の小林成人です

今回はダイレクトの症例

左上2番(矢印の向かって右側の歯)が生まれつき小ぶりの歯(矮小歯)に
なっています
このままでは見た目が悪いためダイレクトボンディングで治療する事にしました

反対側の歯は正常な形です

ダイレクトボンディングのいいところは
歯を全く削らずにできるとろ
そして1回で治療が済む事です

白い材料をぺたぺたと貼付けて歯の形にしていきます
3種類の色を使っています

綺麗に自然に仕上がりました
これで笑うときに口元を手で隠さずに済みます
お疲れさまでした
治療時間 1時間 1回
保険外診療となっております
矮小歯で気にされている方はご相談ください

2013/08/25

KOデンタルフェアー

こんにちは さいたま市なると歯科院長の小林成人です

8/25(日)診療終了後東京国際フォーラムで開催された

デンタルフェアーに参加してきました

最新の歯科機材がスペシャルプライスで販売されており、

あれもこれも買いたくなってしまいました

テクノロジーが凄まじく進化する近年、

より痛くなく治療できる機材が開発され、

小さい物をより大きく見られる装置が開発され

より精密な型が取れるようになり

より頑丈で、美しい歯が作れるようになり

湾曲した難しい根管治療も綺麗に治療できるニッケルチタンファイルが開発されたり

と、どんどん進歩しています

昔は残せなかった歯も今は随分と残せるようになりました

歯科保険点数は上がらなくて経営的には大変ですが、

患者さんの大切な歯を長持ちさせる為に、今後もできるだけ投資していきたいと思います









2013/08/17

夏休み終了 診療開始しています 

こんにちは さいたま市なると歯科院長の小林成人です

お盆休みも終わり本日8/17(土)9時より通常通り診察しております

休み前に大掃除と新人歓迎会を行いました

海鮮焼きはとても美味しかったです

院内もピカピカになり、気持ち新たに今年後半も頑張って参ります




2013/08/11

休診のお知らせ

こんにちは さいたま市なると歯科院長の小林成人です

猛暑日が続きますが皆様体調を崩されていませんでしょうか

当院は8/12(月)〜16(金)まで夏期休診とさせて頂きます

大変ご迷惑をおかけ致します

急患の方はさいたま市役所裏手

浦和休日診療所
さいたま市浦和区常磐6−4−18
さいたま市浦和区役所保健センター2階
048−833−0199 までお願い致します




2013/08/03

小児スピード矯正(たったの2週間) child orthodontic treatment

こんにちは さいたま市なると歯科院長の小林成人です

子供の部分矯正の症例

わずか2週間のスピード矯正です


前歯が反対咬合になってしまい心配で来院されました
このまま様子を見ても自然に改善する事はありませんので
矯正する事にしました

この程度の矯正でしたらブラケットは上の前歯だけですみます

わずか2週間後
反対咬合が改善されました
子供のうちは根も短く
被蓋も浅いため、短期間で済む事が多いです
大人になってからでもできますが、長期間かかってしまいます
前歯の反対咬合でお悩みのお子さんがいましたら
ご相談ください

2013/08/02

本日のお花 Today's flower

こんにちは さいたま市なると歯科院長の小林成人です

今日のお花はリンドウ(竜胆)Japanese gentian

花言葉は 群生せず、一本ずつ咲く姿から花言葉は「悲しんでいるあなたを愛する」

だそうです

当院では少しでも治療中の緊張がほぐれるよう生花を置くようにしております





2013/08/01

論文の真偽 〜ディオバン問題〜

こんにちは さいたま市なると歯科院長の小林成人です

降圧剤ディオバンで問題になっている論文捏造疑惑

皆さんはどうお考えでしょうか

医療従事者にとって医療論文は治療方法、投薬方法を決定するとても大事なものです

世の中には数多くの論文があり、とてもいい論文もあれば、

??な、いい加減な論文も一部にあります

製薬会社が関与した論文は、都合が悪い部分は隠して、

都合がいい部分だけをクローズアップする傾向にある事は一般的でしょう

自社製品を売りたい訳ですから、当然といえば当然です

では我々がどういう論文を信じて、どういう論文は信じてはいけないのか

一般的にはそのお薬の効果が一つの調査期間で出た論文ではなく

世界中の色々な国、大学で同じような調査をして同じような有効性が確認されて

初めてその薬は効果があると判断できます


また論文を読む際は批判的に読む事が大切です

嘘が書いてある物として疑って読むのです

ある程度のデータ捏造はよく読めば見抜けます

それでも問題ない論文は信じていい論文かもしれません



また、日頃論文を読み慣れていない方にとっては真偽は判断しにくいので

各論文にはランク付けがなされています 




Evidence Level 1  :少なくとも1つのランダム化比較試験(RCT)を含む論文
Evidence Level2-1 :良くデザインされた非ランダム化比較試験を含む論文
Evidence Level2-2 :良くデザインされた1つ以上のセンター、リサーチグループによるコホート研究かケースコントロール分析研究
Evidence Level2-3 :非実験研究(観察研究など)
Evidence Level 3   : 専門家による報告や意見、権威者の経験

つまり、Level1の方が信憑性が高くて、3が低いということになります


また、論文掲載雑誌のランクも重要です Natureなどの超一流雑誌に論文が載る事は

大変難しく、編集者の厳しい審査が待っているので雑誌の種類でもある程度判断できます

新聞でいうと東スポの記事はあまり信じられないのと似ていますかね


また一人で論文を読むと見落とすことがあるので、仲間と一緒に読んでディスカッション

するといいです

どこかしらの勉強家に所属して、論文抄読会を行い多くの論文を読む事で

真偽を見分けられる目を養う事ができます



我々医療従事者は常に真実が何かを突き止める鋭い観察眼と、読解力が求められます

一部のいい加減な論文、薬、製品にだまされないように

日々鍛錬をしていかなくてはなりません