こんにちは さいたま市なると歯科院長の小林成人です。
東京医科歯科大学白熱教室に参加してきました。
大学の先輩で何度か見学をさせて頂いたことのある中川先生。
審美修復がものすごく上手な先生です。
たくさんの学びがありました。どうもありがとうございました。
東京医科歯科大学歯科同窓会学術部同窓生限定講演会
東京医科歯科大学白熱教室に参加してきました。
大学の先輩で何度か見学をさせて頂いたことのある中川先生。
審美修復がものすごく上手な先生です。
たくさんの学びがありました。どうもありがとうございました。
東京医科歯科大学歯科同窓会学術部同窓生限定講演会
第18回 TMDU白熱教室
平成27年11月21日(土)
『前歯部審美修復を成功させるために・・・』-Smile Design & Tissue Design-
● 講演内容
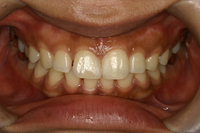
『審美歯科』という言葉は、現在では広く一般の人々に認知されていると考える。では、我々は専門家として、どんなところに注意してゆけば良いのだろうか?
まず、歯列全体が顔貌・口唇とバランスが取れていることが重要であるが、次に歯列単位のバランス、最終的には個々の歯の色や形となる。この時に補綴物と歯周組織の求められるべき関係が得られていない場合には長期的予後を期待することは難しいと言わざるを得ない。特に古い補綴物の再治療を行う場合、縁下カリエスやフェルールなどの問題を克服するためのティッシュマネージメントが全ての成功のカギを握っていると言っても過言ではない。
インプラント治療においてはこの傾向はより顕著となる。何故ならそこには、インプラント特有の排他的なバイオロジーがあり、多くの場合、天然歯以上の戦略的な補完的マネージメントが必須となるからである。
今回は審美治療における歯周組織に対する考え方を供覧させて頂き、皆様と一緒にそのプライオリティーについて考えてみたいと思う。
『審美歯科』という言葉は、現在では広く一般の人々に認知されていると考える。では、我々は専門家として、どんなところに注意してゆけば良いのだろうか?
まず、歯列全体が顔貌・口唇とバランスが取れていることが重要であるが、次に歯列単位のバランス、最終的には個々の歯の色や形となる。この時に補綴物と歯周組織の求められるべき関係が得られていない場合には長期的予後を期待することは難しいと言わざるを得ない。特に古い補綴物の再治療を行う場合、縁下カリエスやフェルールなどの問題を克服するためのティッシュマネージメントが全ての成功のカギを握っていると言っても過言ではない。
インプラント治療においてはこの傾向はより顕著となる。何故ならそこには、インプラント特有の排他的なバイオロジーがあり、多くの場合、天然歯以上の戦略的な補完的マネージメントが必須となるからである。
今回は審美治療における歯周組織に対する考え方を供覧させて頂き、皆様と一緒にそのプライオリティーについて考えてみたいと思う。
○ 講師
東京都開業 中川歯科医院 院長 5-D Japan
中川 雅裕 先生
東京都開業 中川歯科医院 院長 5-D Japan
中川 雅裕 先生
































