さいたま市武蔵浦和で歯科医院を開業している、なると歯科院長小林成人のブログです。 総合的な歯科治療(インプラント、審美診療、ダイレクトボンディング、セラミック治療、ブリーチング、ガムピーリング、矯正、歯周外科、小児矯正)を得意としています。 院長が一人で全ての診療を行うため、インプラントはA歯科医院で、矯正はB歯科医院で、根管治療はC歯科医院で、移植はD歯科医院でという事はありません。 全て当院で総合的な治療を行う事ができます。 広く深くをモットーに日々自己研鑽に勤しんでおります。
2017/12/22
2017/12/16
ISCT西堀勉強会 Inter-disciplinary Study Club Tokyo
こんにちは さいたま市なると歯科院長の小林成人です。
ISCT西堀勉強会 Inter-disciplinary Study Club Tokyoに参加して来ました。
論文抄読1本目は
Randomized Clinical Trial on the
Efficacy and Safety of Four
Professional At-home Tooth
Whitening Gels
V Alonso de la Pen ̃a M Lo ́pez Rato ́n
2本目は
Maysa Magalhães VAZ1, Lawrence Gonzaga LOPES1, Paula Carvalho CARDOSO1, João Batista de SOUZA1, Aline Carvalho BATISTA1, Nádia Lago COSTA1, Érica Miranda TORRES1, Carlos ESTRELA2
各種ホワイトニング剤と歯髄への影響や漂白効果を調べた論文です。
説明書通りにホワイトニングを行えば特に問題ありませんが、
一時的な知覚過敏や歯髄の炎症は起こることがあります。
ホームホワイトニング、オフィスホワイトニング
それぞれにメリットデメリットがありますので、
担当医とよく相談して決めるといいでしょう。

V Alonso de la Pen ̃a M Lo ́pez Rato ́n
2本目は
Maysa Magalhães VAZ1, Lawrence Gonzaga LOPES1, Paula Carvalho CARDOSO1, João Batista de SOUZA1, Aline Carvalho BATISTA1, Nádia Lago COSTA1, Érica Miranda TORRES1, Carlos ESTRELA2
各種ホワイトニング剤と歯髄への影響や漂白効果を調べた論文です。
説明書通りにホワイトニングを行えば特に問題ありませんが、
一時的な知覚過敏や歯髄の炎症は起こることがあります。
ホームホワイトニング、オフィスホワイトニング
それぞれにメリットデメリットがありますので、
担当医とよく相談して決めるといいでしょう。
2017/12/01
2017/11/25
コーンログインプラント講演会
こんにちは さいたま市なると歯科院長の小林成人です。
祝日の日にインプラント講演会に行ってきました。
テーマは
インプラント審美修復 そのヒントと実践
前歯部審美領域でのテクニックとポイント
でした。
カムログは欧米から遅れること5年、コーンログインプラントが
ようやく厚生労働省の認可を受けて発売されました。
トップまでラフサーフェイスでより多くのプラットフォームスイッチングした
モデルで、ボーンロスを起こしにくいインプラントとなっています。
発売を待ち望んでいましたので、とても嬉しかったです。
4人の講師による審美インプラントは大変予知性が高く、大いに勉強になりました。
どうもありがとうございました。


祝日の日にインプラント講演会に行ってきました。
テーマは
インプラント審美修復 そのヒントと実践
前歯部審美領域でのテクニックとポイント
でした。
カムログは欧米から遅れること5年、コーンログインプラントが
ようやく厚生労働省の認可を受けて発売されました。
トップまでラフサーフェイスでより多くのプラットフォームスイッチングした
モデルで、ボーンロスを起こしにくいインプラントとなっています。
発売を待ち望んでいましたので、とても嬉しかったです。
4人の講師による審美インプラントは大変予知性が高く、大いに勉強になりました。
どうもありがとうございました。
2017/11/24
2017/11/18
ISCT西堀勉強会 Inter-disciplinary Study Club Tokyoに
こんにちは さいたま市なると歯科院長の小林成人です。
ISCT西堀勉強会 Inter-disciplinary Study Club Tokyoに参加してきました。
論文抄読1本目は
Short dental implants (6 mm)
versus long dental implants
(11–15 mm) in combination with
sinus floor elevation procedures:
3-year results from a multicentre,
randomized, controlled clinical
trial
上顎骨が薄い場合、サイナスリフトで骨造成をしてから
普通の長さのインプラントを埋入する方法と、短いインプラントを
骨造成なしで埋入する方法があります。
GSグループはアストラインプラント4-6mm 61本
GGグループはグラフとしたアストラインプラント4-11,13,15mm 68本
を3年後に状態を比較しました。
生存率、骨レベル、予後に有意差はなく、ショートインプラントの優位性が
述べられていました。

2本目は
上下顎に6mmのストローマンインプラントを23本づつシングルで埋入して、
45ヶ月後に状態を比較した論文。
生存率はどちらも約4年後で91.3%とかなり低い数値でした。
下顎の方がスクリューの緩みが多かった。
臨床実感とは逆の結果でしたが、ブラキシズムなど、条件が悪かったのかもしれません。

上顎骨が薄い場合、サイナスリフトで骨造成をしてから
普通の長さのインプラントを埋入する方法と、短いインプラントを
骨造成なしで埋入する方法があります。
GSグループはアストラインプラント4-6mm 61本
GGグループはグラフとしたアストラインプラント4-11,13,15mm 68本
を3年後に状態を比較しました。
生存率、骨レベル、予後に有意差はなく、ショートインプラントの優位性が
述べられていました。

2本目は
Risk factors for single crowns supported by short (6-mm)
implants in the posterior region: A prospective clinical and
radiographic study
上下顎に6mmのストローマンインプラントを23本づつシングルで埋入して、
45ヶ月後に状態を比較した論文。
生存率はどちらも約4年後で91.3%とかなり低い数値でした。
下顎の方がスクリューの緩みが多かった。
臨床実感とは逆の結果でしたが、ブラキシズムなど、条件が悪かったのかもしれません。

2017/11/17
医療安全対策講演会
こんにちは、さいたま市なると歯科院長の小林成人です。
埼玉県歯科医師会主催の医療安全対策講演会に出席してきました。
講師は東京医科歯科大学歯科麻酔学教授の深山先生。
学生時代も講義、実習でお世話になった素晴らしい先生です。
心筋梗塞などの持病を持ちながら歯科治療をする際の注意事項や
緊急時の救急蘇生法について、お話いただきました。
当院でもこれを機に、AED、酸素、パルスオキシメーター、血圧計、
救急蘇生バッグ、口腔外バキュームを揃えて、外来環の施設基準を
取得しようと思います。
午後の部は休診にしてしまい、皆様にはご迷惑をおかけいたしましたが、
得た知識を患者さんに還元したいと思いますので、
ご理解とご協力に感謝いたします。

埼玉県歯科医師会主催の医療安全対策講演会に出席してきました。
講師は東京医科歯科大学歯科麻酔学教授の深山先生。
学生時代も講義、実習でお世話になった素晴らしい先生です。
心筋梗塞などの持病を持ちながら歯科治療をする際の注意事項や
緊急時の救急蘇生法について、お話いただきました。
当院でもこれを機に、AED、酸素、パルスオキシメーター、血圧計、
救急蘇生バッグ、口腔外バキュームを揃えて、外来環の施設基準を
取得しようと思います。
午後の部は休診にしてしまい、皆様にはご迷惑をおかけいたしましたが、
得た知識を患者さんに還元したいと思いますので、
ご理解とご協力に感謝いたします。

2017/11/15
2017/11/14
2017/11/13
自家歯牙移植 tooth plantation
こんにちは さいたま市なると歯科院長の小林成人です。
歯の移植のケースです。

左下6番(向かって右側)が歯根破折のため、保存不可能です。
幸い状態のいい同じ大きさの親知らずが余っていますので、移植することになりました。

歯根破折を起こしている銀歯。腫れています。

左上に使われていない状態のいい、虫歯のない親知らずが余っています。

歯根破折を起こしている歯は抜歯して、

同時に親知らずも抜歯して、

移植します。ワイヤーと接着剤でしばらく固定します。
ギプスのような役割です。

しばらくしたら、根の治療をして、ワイヤーを外します。

通常は金属でかぶせるのですが、あまりにもサイズがぴったりだったので
白く詰めるタイプで終了しました。
親知らずを用いた移植は保険でできます。
サイズが合わない時、親知らずの根が開いていて、抜くときに割れてしまう時、
大きな虫歯の親知らずは移植できませんので、事前の検査が必要です。
よく歯磨きをして、虫歯にしなければ親知らず移植用に
とっておいてもいいかもしれませんね。
歯の移植のケースです。

左下6番(向かって右側)が歯根破折のため、保存不可能です。
幸い状態のいい同じ大きさの親知らずが余っていますので、移植することになりました。

歯根破折を起こしている銀歯。腫れています。

左上に使われていない状態のいい、虫歯のない親知らずが余っています。

歯根破折を起こしている歯は抜歯して、

同時に親知らずも抜歯して、

移植します。ワイヤーと接着剤でしばらく固定します。
ギプスのような役割です。

しばらくしたら、根の治療をして、ワイヤーを外します。

通常は金属でかぶせるのですが、あまりにもサイズがぴったりだったので
白く詰めるタイプで終了しました。
親知らずを用いた移植は保険でできます。
サイズが合わない時、親知らずの根が開いていて、抜くときに割れてしまう時、
大きな虫歯の親知らずは移植できませんので、事前の検査が必要です。
よく歯磨きをして、虫歯にしなければ親知らず移植用に
とっておいてもいいかもしれませんね。
2017/11/12
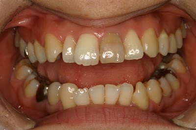
インターナルブリーチング
こんにちは さいたま市なると歯科院長の小林成人です。
インターナルブリーチング(ウオーキングブリーチ)の症例です。

左上1番(向かって右側)が変色してしまい、白くしたくて来院されました。
神経が死んでしまうと、時間とともに歯の色が暗くなってきます。
虫歯ではありませんので、医学的にはこのままでも問題ありませんが、
見た目が気になる方は、削らずに白くするインターナルブリーチングがオススメです。
神経がある歯にはできません。
自分の歯質があまり残っていない方もできません。

歯の裏側の詰め物を外して、白くするお薬を入れて1ヶ月おきにお薬を交換します。
歯は全く削っていません。
平均4回程度で、白くなります。
早い方は1回で、かかる方は6回ほどになります。
治療回数 30分×3回
保険外診療となっております。
歯を削らずに白くしたい方にオススメです。
インターナルブリーチング(ウオーキングブリーチ)の症例です。

左上1番(向かって右側)が変色してしまい、白くしたくて来院されました。
神経が死んでしまうと、時間とともに歯の色が暗くなってきます。
虫歯ではありませんので、医学的にはこのままでも問題ありませんが、
見た目が気になる方は、削らずに白くするインターナルブリーチングがオススメです。
神経がある歯にはできません。
自分の歯質があまり残っていない方もできません。

歯の裏側の詰め物を外して、白くするお薬を入れて1ヶ月おきにお薬を交換します。
歯は全く削っていません。
平均4回程度で、白くなります。
早い方は1回で、かかる方は6回ほどになります。
治療回数 30分×3回
保険外診療となっております。
歯を削らずに白くしたい方にオススメです。
2017/11/11
ホームホワイトニング
こんにちは さいたま市なると歯科院長の小林成人です。
歯を白くするには
歯科医院で行うオフィスホワイトニング
自宅で行うホームホワイトニング
があります。
オフィスホワイトニングは歯科医院で1時間くらいで終わるタイプで、
平均3シェード白くなります。光を当てて白くするので、全くしみません。
知覚過敏の方や1回でそこそこ白くしたい方にオススメです。
効果は6ヶ月程度です。
ホームホワイトニングは自宅で数時間、専用トレーにホワイトニング剤を自分で入れて
白くする方法で、数週間かかります。
平均6シェード白くなります。この方法は一時的にしみる方が多いです。
自宅で気楽に白くしたい方にオススメです。
効果は2年間程度です。
オフィス+ホームホワイトニングは両方行う方法で、最も白くなります。
平均9シェード白くなります。
より白くしたい方にオススメです。
効果は3年程度です。

ホワイトニング前

ホームホワイトニング後
歯を白くするには
歯科医院で行うオフィスホワイトニング
自宅で行うホームホワイトニング
があります。
オフィスホワイトニングは歯科医院で1時間くらいで終わるタイプで、
平均3シェード白くなります。光を当てて白くするので、全くしみません。
知覚過敏の方や1回でそこそこ白くしたい方にオススメです。
効果は6ヶ月程度です。
ホームホワイトニングは自宅で数時間、専用トレーにホワイトニング剤を自分で入れて
白くする方法で、数週間かかります。
平均6シェード白くなります。この方法は一時的にしみる方が多いです。
自宅で気楽に白くしたい方にオススメです。
効果は2年間程度です。
オフィス+ホームホワイトニングは両方行う方法で、最も白くなります。
平均9シェード白くなります。
より白くしたい方にオススメです。
効果は3年程度です。

ホワイトニング前

ホームホワイトニング後
2017/11/10
根面被覆術 root coverage
こんにちは さいたま市なると歯科院長の小林成人です。
歯周病以外の理由で歯茎が退縮してしまうと、見た目が悪いばかりでなく、
歯がしみたり、食べかすが詰まりやすくなったりしてしまいます。
一度下がった歯茎は、自然に戻ることはありませんので、
人生の中では歯茎は下がる一方です。
条件が揃えば、歯茎を元に戻すことができます。
根面被覆術といいます。
歯肉退縮の原因は
歯肉の厚みが薄い場合
歯ブラシ圧が強い場合
歯ぎしりをする場合
加齢の場合
歯周病ん場合
等があります。

左下1番(向かって右側中央)の歯茎が下がってしまいました。
見た目が気になるとのことで、根面被覆術を行いました。

歯肉を一部切開して、上顎口蓋部から結合組織を移植して、歯肉の厚みを
厚くします。

口蓋部は上皮は残して中の結合組織のみ使いますので、思ったよりも痛くありません。
この部位は再生しますので、一旦薄くなりますが、
じきに元の厚さに戻りますのでご安心ください。
人工歯肉を使う方法もありますが、結合組織の方が成功率は高いです。

手術2年後。
完全には戻りませんが、半分程度は改善させることができました。
歯周病の場合はできませんのでご注意ください。
歯周病以外の理由で歯茎が退縮してしまうと、見た目が悪いばかりでなく、
歯がしみたり、食べかすが詰まりやすくなったりしてしまいます。
一度下がった歯茎は、自然に戻ることはありませんので、
人生の中では歯茎は下がる一方です。
条件が揃えば、歯茎を元に戻すことができます。
根面被覆術といいます。
歯肉退縮の原因は
歯肉の厚みが薄い場合
歯ブラシ圧が強い場合
歯ぎしりをする場合
加齢の場合
歯周病ん場合
等があります。

左下1番(向かって右側中央)の歯茎が下がってしまいました。
見た目が気になるとのことで、根面被覆術を行いました。

歯肉を一部切開して、上顎口蓋部から結合組織を移植して、歯肉の厚みを
厚くします。

口蓋部は上皮は残して中の結合組織のみ使いますので、思ったよりも痛くありません。
この部位は再生しますので、一旦薄くなりますが、
じきに元の厚さに戻りますのでご安心ください。
人工歯肉を使う方法もありますが、結合組織の方が成功率は高いです。

手術2年後。
完全には戻りませんが、半分程度は改善させることができました。
歯周病の場合はできませんのでご注意ください。
2017/11/02
2017/11/01
2017/10/21
ISCT西堀勉強会 Inter-disciplinary Study Club Tokyo.
こんにちは さいたま市なると歯科院長の小林成人です。
ISCT西堀勉強会 Inter-disciplinary Study Club Tokyoに参加して来ました。
今回は論文抄読。
1本目は
Prevalence and Predictive Factors for
Peri-Implant Disease and Implant
Failure: A Cross-Sectional Analysis
Diane M. Daubert,* Bradley F. Weinstein,* Sandra Bordin,* Brian G. Leroux,† and Thomas F. Flemmig*‡
インプラント周囲炎やインプラントの失敗と何が関連しているかを調べた論文。
96人225本のインプラントを10.9年追跡調査して予後を調査したところ、
生存率は91.6%でインプラント粘膜炎は33%、インプラント周囲炎は16%に起こった。
インプラント周囲炎は年齢、糖尿病、歯周病の状態と密接な関係があった。
臨床実感通りの結果でした。

2本目は
Peri-Implant Disease and Implant
Failure: A Cross-Sectional Analysis
Diane M. Daubert,* Bradley F. Weinstein,* Sandra Bordin,* Brian G. Leroux,† and Thomas F. Flemmig*‡
インプラント周囲炎やインプラントの失敗と何が関連しているかを調べた論文。
96人225本のインプラントを10.9年追跡調査して予後を調査したところ、
生存率は91.6%でインプラント粘膜炎は33%、インプラント周囲炎は16%に起こった。
インプラント周囲炎は年齢、糖尿病、歯周病の状態と密接な関係があった。
臨床実感通りの結果でした。

2本目は
2017/10/18
2017/10/07
ISCT西堀勉強会 Inter-disciplinary Study Club Tokyo.
こんにちは さいたま市なると歯科院長の小林成人です。
ISCT西堀勉強会 Inter-disciplinary Study Club Tokyoに参加してきました。
論文抄読1本目は
Bruxism Is Unlikely to Cause Damage to the Periodontium:
Findings From a Systematic Literature Assessment
Daniele Manfredini,* Jari Ahlberg,† Rossano Mura,* and Frank Lobbezoo‡
寝ている間の歯ぎしりと歯周病との関係を調べた論文。
結論は明確な関係はなかったということです。
歯周病の主な原因はプラーク(細菌)なので、
歯ぎしりだけで歯周病が起きることはありません。
2本目は
6歳から9歳の子供50人を調査して、歯ぎしりと歯周疾患の関係を調べた論文。
いくつか関係性はあったものの、論文自体の統計処理に疑問があり、
信憑性が低い論文でした。
Daniele Manfredini,* Jari Ahlberg,† Rossano Mura,* and Frank Lobbezoo‡
寝ている間の歯ぎしりと歯周病との関係を調べた論文。
結論は明確な関係はなかったということです。
歯周病の主な原因はプラーク(細菌)なので、
歯ぎしりだけで歯周病が起きることはありません。
2本目は
Association of sleep bruxism and dental plaque factors on
signs of periodontal disease in children in the mixed dentition
CLAUDIA CECILIA RESTREPO, MARCELA TIRADO & KELLY JULIETTE JIMENEZ
CLAUDIA CECILIA RESTREPO, MARCELA TIRADO & KELLY JULIETTE JIMENEZ
6歳から9歳の子供50人を調査して、歯ぎしりと歯周疾患の関係を調べた論文。
いくつか関係性はあったものの、論文自体の統計処理に疑問があり、
信憑性が低い論文でした。
2017/10/02
2017/09/28
2017/09/16
ISCT西堀勉強会 Inter-disciplinary Study Club Tokyo.
こんにちは さいたま市なると歯科院長の小林成人です。
ISCT西堀勉強会 Inter-disciplinary Study Club Tokyoに参加してきました。
論文抄読は私が当番でしたので、発表しました。
Survival of teeth treated with cast post and cores: A
retrospective analysis over an observation period of up to
19.5 years
Michael Raedel, Dr med dent, MSc,a Cliff Fiedler,b Stephan Jacoby, Dr med dent, MSc,c and Klaus W. Boening, Prof Dr med dentd
神経のない歯を補強してかぶせる際に、補強材の一つに鋳造したメタルコアがあります。
その歯が19.5年の観察期間中に、何年で抜歯になったかを調査した後ろ向きの論文です。
結論は平均13.5年で抜歯になっていたことがわかりました。
神経のない歯はあまり長持ちしないんです。
皆様歯は大事にしましょうね。

17年で40%が抜歯になっていました。(抜歯理由は問わず)

前歯よりも臼歯の方が長持ちするようです。臨床実感とは違います。

隣在歯がある方が、孤立歯よりも長持ちした。
Michael Raedel, Dr med dent, MSc,a Cliff Fiedler,b Stephan Jacoby, Dr med dent, MSc,c and Klaus W. Boening, Prof Dr med dentd
神経のない歯を補強してかぶせる際に、補強材の一つに鋳造したメタルコアがあります。
その歯が19.5年の観察期間中に、何年で抜歯になったかを調査した後ろ向きの論文です。
結論は平均13.5年で抜歯になっていたことがわかりました。
神経のない歯はあまり長持ちしないんです。
皆様歯は大事にしましょうね。

17年で40%が抜歯になっていました。(抜歯理由は問わず)

前歯よりも臼歯の方が長持ちするようです。臨床実感とは違います。

隣在歯がある方が、孤立歯よりも長持ちした。
2017/09/15
2017/09/06
2017/09/01
2017/08/21
2017/07/31
登録:
コメント (Atom)














