2018/04/28

ISCT西堀勉強会 Inter-disciplinary Study Club Tokyo

こんにちは さいたま市なると歯科院長の小林成人です。

ISCT西堀勉強会 Inter-disciplinary Study Club Tokyoに参加して来ました。


今回の演者は山王病院の小飼先生。

インプラントセンターの先生でありながら、自家歯牙移植に情熱を捧げていらっしゃる

すごい先生でした。

移植に関する注意点はもちろん参考になりましたし、

小臼歯を前歯部に2本移植したケースや、埋伏智歯を歯冠分割して

2回法で抜歯することにより、移植できたケース、

口蓋裂の患者さんにGBRしながら前歯部に移植したケース、

サイナスリフトを併用した移植ケースなど、

どれも素晴らしいケースでした。

大変勉強になりました。

どうもありがとうございました。





2018/04/14

ISCT西堀勉強会 Inter-disciplinary Study Club Tokyo

こんにちは さいたま市なると歯科院長の小林成人です。

ISCT西堀勉強会 Inter-disciplinary Study Club Tokyoに参加して来ました。


今回のケースプレゼンテーションはA立先生。

歯周病学会専門医試験に出す10ケースのうち5ケースをプレゼンされました。

歯周外科、再生療法を含めた素晴らしいケースが多かったので、きっと受かりますよ。

頑張ってください。


2018/04/09

インプラント治療例

こんにちは さいたま市なると歯科院長の小林成人です

インプラントの治療例です。


右下6番がないので、インプラント治療にみえた患者さん。
骨幅も長さも充分にありますので、何の問題もありません。


インプラント埋入手術。
手術時間 20分。


この後、結合するまで3ヶ月待って、


本歯を装着します。
これでよく噛めるようになります。
長持ちさせるためには、お手入れがとても重要ですので、日頃の歯磨きと
定期的な歯石とりを頑張りましょう。
お疲れ様でした。



2018/04/08

インプラント治療

こんにちは さいたま市なると歯科院長の小林成人です。

インプラントの治療例。


下顎の奥歯がないため、しっかり噛めるインプラント治療を希望されて
来院されました。


右下にインプラント2本


左下にも2本、埋入して


3ヶ月間、骨と結合するのを待って、


アバットメントを装着して、


白い歯を装着します。
左下(向かって右側)は2本のインプラントで
3本の歯が入るブリッジタイプで仕上げています。
これで奥歯でしっかり噛めますね。
お疲れ様でした。
治療期間 4ヶ月
自費診療となっております。


2018/04/07

ISCT西堀勉強会 Inter-disciplinary Study Club Tokyo

こんにちは さいたま市なると歯科院長の小林成人です。

ISCT西堀勉強会 Inter-disciplinary Study Club Tokyoに参加して来ました。


論文抄読1本目は 

A new method using autogenous  impacted third morals for sinus augmentation to enhance implant treatment.

上顎の骨が薄い部位にインプラントをする際、骨造成が必要なのですが

補う骨を、埋伏した感染していない親知らずを抜歯して粉々にして

付近の骨と混ぜてサイナスリフトをした論文です。

充分な科学的根拠はありませんが、歯根膜や歯髄細胞が含まれるのでメリットもありそうですが、

一度感染すると、歯質は吸収しないので心配な面もあります。

さらなる研究が必要でしょう。




2本目は
Third molar transplantation combined with an osteotome sinus lift – two case reports

親知らずを移植する際に、上顎骨が薄いと入らないので、

サイナスリフトをしながら、移植した2症例の論文です。

この方法は私も使用しているので、いいとおもいます。





2018/04/06

オールセラミッククラウン

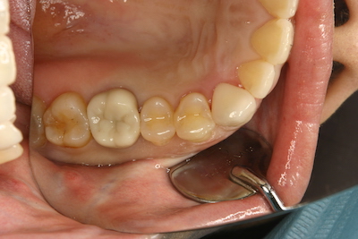
こんにちは さいたま市なると歯科院長の小林成人です。

オールセラミッククラウン2本の治療例。


左上3番と6番を白い綺麗な歯に変えたくて来院されました。


被せ物を外して、形を整え、


オールセラミッククラウンを作製します。


金属は使用していませんので、金属アレルギーの心配がありません。


綺麗に入りました。
治療回数 3回
自費診療となっております。


2018/04/05

夜べん

こんにちは さいたま市なると歯科院長の小林成人です。

元勤務先の勉強会、夜べんに参加してきました。

歯科医師、歯科技工士、歯科衛生士が1チームとなって参加する勉強会です。


今回の担当はK林先生でした。

テーマはMTM,Minor Tooth Movementの略で、部分矯正のことです。

全部の歯を動かす全顎矯正に対して、部分的に一部のみ動かす矯正を指します。

エラプション、反対咬合の改善、フレアアウトした歯列への補綴前矯正、外傷歯への対応など

多くの症例を提示していただきました。

お疲れ様でした。