2012/06/30

本日のお花 today's flower

こんにちは さいたま市なると歯科院長の小林成人です

今回のお花はカーネーション

アップで見ると1枚1枚の花びらに複雑な模様がありとても奇麗ですね

当院では治療中の緊張が少しでもほぐれるよう

治療台に生花を置いています

少しでも癒されますように





2012/06/29

小児矯正 咬合斜面板6年後 child orthodontic treatment post 6 years.

こんにちは さいたま市なると歯科院長の小林成人です

子供の部分矯正後、6年経過した症例を見てみましょう

7歳の男の子
右上1番(向かって左側)の反対咬合が気になって来院されました
確かにこれは気になります

上が少し内側にはえてきてしまっています

完全に反対になってしまっているので、このまま様子を見たところで
自然に改善する事はまずありません

一方、下の歯は外側に飛び出てしまっています




そこで、取り外し式の部分矯正装置 咬合斜面板 で噛み合わせを改善します
下顎にはめる装置で取り外し式ですので、授業中、食事中、運動中など
外したい時は外せます
但し、咬む力で歯を動かす装置なので、たくさん咬んでくれないと動きません
あまり咬んでもらえない方は他の固定式装置もありますよ

装置をはめて咬んで頂く事わずか2週間
これだけ動きました
子供のうちは根が短いので動きやすいです
大人になってからの矯正ではこんなに早く動きません

上の歯はだいぶ前に動きました
この間、わずか2週間です
これで矯正は終了 
あとは自然に任せて永久歯が生えそろうのを待ちます







そして6年後
永久歯がはえそろいました
どうですか 奇麗に並んでいます
リセッション(歯肉退縮)をおこしていた右下1番も内側に入った為、クリーピングして
改善しています

右側も

左側もAngle classⅠで奇麗に並んでいます

私が行ったのは1本だけの部分矯正のみです

ブラケットを付けた全額矯正はしていません
私は常に最低限の費用、最低限の介入で最大限の効果を発揮できるよう
治療計画を考えています
この子がもしこの部分矯正をしていなかったら、今頃どうなっていたでしょうか
今から矯正を行うとおそらく治療時間ももっとかかりますし、治療装置も大きくなっていたでしょう
費用も何倍もかかってしまいます
本当にやっておいてよかったと思いませんか

歯並びでお困りのお子さんがいましたら一度ご相談ください

2012/06/27

ダイレクトボンディング direct bonding restoration

こんにちは さいたま市なると歯科院長の小林成人です

今回はダイレクトボンドの症例

→の部位に古い変色した詰め物が気になって来院されました
保険の詰め物は変色しやすいため確かに色が気になります
虫歯ではありません
ダイレクトボンディングで奇麗にしましょう

治療後
奇麗になりました
ダイレクトはほとんど変色しませんので、保険の材料よりもかなり長持ちします
治療時間 4カ所 1時間 1回
治療時は拡大鏡を使用しております
虫歯ではありませんので保険外診療となっております
詰め物がすぐに変色してお困りの方はご相談ください

2012/06/24

インターナル・ブリーチング  walking bleach

こんにちは さいたま市なると歯科院長の小林成人です

今回の症例はインターナルブリーチング

神経を取った事による変色を歯を削らずに白くする治療法です

前歯が2本かなり変色しています
これは虫歯ではなく神経を取った事による変色ですので
病気ではありません
医学的には別に治療しなくてもいいのですが
見た目がどうにも気になります
そこでインターナルブリーチングを行う事にしました

歯の裏側の詰め物を外して、白くするお薬を交換する事6回
だいぶ奇麗になりました
歯は一切削っていません
ここまで奇麗になると今度は歯並びと右上2番の被せ物が気になってきますね
矯正をして、ホワイトニングをして、右上2番をオールセラミッククラウンで作り直すと
完璧に奇麗にできるのですが、患者さんは十分満足されましたので
今回の治療はここまで
最低限の費用で、劇的に改善できました
この治療を行っている歯科医院は少ないんでしょうか
皆さんこのような治療法がある事を知らなかった
もっと早くやっておけばよかったとおっしゃいます
変色でお困りの方は一度ご相談ください
歯質があまり残っていないと別の治療法になる事もあります


2012/06/23

歯根端手術 8ヶ月後  Apicoectomy post 8 months

こんにちは さいたま市なると歯科院長の小林成人です

歯根端手術の経過を追ってみましょう

Apicoectomy case report.

左上2番(向かって右側)の歯に痛みを訴えて当院に来院されました
前医では抜歯してインプラントにするしかないといわれたそうです
Her chief complain is pain of tooth No22.
Her home dentist said it must be extracted and take place into implant.


レントゲンを撮ると確かに大きな根尖病巣(黒い影)があり
長いポストコアが入っています
このコアを外して通常の根管治療をする事はできそうにありません
根管治療も丁寧にされており歯根破折も疑われます
ただ患者さんの強い希望で、ダメ元で歯根端手術を行ってみる事にしました
それでダメなら抜歯してインプラントにしましょう
There is a long post core and periapical lesion.
It is suspected root fracture.
What is your treatment plan?
extraction,usual root canal treatment,or apicoectomy?
I will try apicoectomy,because of a strong patient request.


切開して中を見てみると大きな骨吸収があり、根尖がすぐにみえてきました
が、幸い明らかな歯根破折はみられませんでした
通法通り、根尖3mmを切除し、スーパーボンドで逆根管充填して
There is a big lesion but no root fracture, so I did usual apicoectomy surgery.

縫合します
手術時間 30分
sutured 5-0 nylon
surgical time is 30 minutes

手術直後
歯根先端を3mm落として逆根充した痕がわかります
X-ray photo after surgery.





手術8ヶ月後
症状もなく、経過良好です
黒い影が奇麗になくなり、白線もしっかりでてきました
幸い破折していなかったようです
8 months after surgery.
It's nice healing.

8ヶ月後の口腔内写真
白い瘢痕治癒が残ってしまいますが、普段はみえないところなので
ほとんど目立ちません
今回はたまたま上手くいきましたが、割れているとどうにも治せません
これで一安心です
このような状態で抜歯を宣告されて困っている方は一度ご相談ください

There is a little white line of incision area,but we can't see as usual.no problem.

ISCT西堀勉強会

こんにちは さいたま市なると歯科院長の小林成人です

ISCT西堀勉強会に出席してきました

今回の担当は東中野で開業されている篠田先生

私の大学の先輩でもあり、歯周病専門医の資格をお持ちの凄い先生です

今回のケースは重度歯周炎の患者さんになるべく歯を残すべく

歯周初期治療、歯周外科手術、矯正治療、インプラントを駆使して

見事に残した症例でした

全部抜歯してもおかしくないほど進行した歯周炎を見事にコントロールして

最小限の抜歯で長期間、ほぼ問題なく経過していたのが素晴らしかったです

歯周病専門医ならではの症例でした

大変勉強になりました どうもありがとうございました

中野方面でいい歯医者さんをお探しでしたら迷わず篠田歯科へどうぞ

自信を持ってお勧め致します



2012/06/21

本日のお花 睡蓮  today's flower

こんにちは さいたま市なると歯科院長の小林成人です

今日のお花は睡蓮(スイレン)

もうすぐ花が咲きそうです

楽しみですね

当院では治療中の緊張が少しでも和らぐよう、治療台に生花を置いています

少しでもお花で癒されますように



2012/06/19

インプラント治療 dental implant treatment

こんにちは さいたま市なると歯科院長の小林成人です

同じ患者さんの上顎のインプラント

右上6番にインプラント埋入します
手術時間 20分
前歯は引っ込める矯正中(リトラクション)

縫合

手術直後レントゲン写真

4ヶ月後傷が治ったところで型を取って

白い歯が入りました
これで奥歯でしっかりとものが噛めます
インプラントは適切な診査診断術式で行えばベストな選択肢だと思います
私の歯がもしなくなったら、迷わずインプラントを入れてもらいます
ただし、歯科医はよく選んだ方がいいと思います
最新の知識を常にアップデートして勉強しているか
海外の論文を読んで勉強しているか
学会に参加して最新のデータを理解しているか
勉強会に所属して症例検討会でちゃんと日頃からディスカッションをしているか
手先が器用か
あたりが、いいインプラントドクターの見分け方だと思います

インプラントの世界は日々進化しています
歯科医師は生涯勉強し続ける必要があります

2012/06/16

インプラント dental implant treatment

こんにちは さいたま市なると歯科院長の小林成人です

前回の患者さんのインプラント部分の解説

バーチカルサポートが不足しているため、出っ歯になってしまいました
前歯だけ矯正で引っ込めても、奥歯がなければまたすぐに出てきてしまいます
右下6番にインプラントをいれてしっかりと奥歯で噛めるようにしましょう

最小限の切開でインプラントを埋入します
手術時間 20分

手術1週間後 抜糸時
大きな腫れも痛みもでませんでした

手前の歯の根っこが曲がっていたので触れないように気をつけました

3ヶ月後に歯が入りました
患者さんの希望で白いオールセラミッククラウン(Emax)で仕上げました
これで奥歯でもしっかりとものが咬めますね
お疲れさまでした

2012/06/14

本日のお花 today's flower

こんにちは さいたま市なると歯科院長の小林成人です

本日のお花は薔薇とナナカマド

当院では治療の緊張が少しでも癒されるよう、生花を置いています





2012/06/13

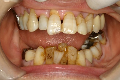
オールセラミック・ブリッジ  Procera Bridge

こんにちは さいたま市なると歯科院長の小林成人です

今回はオールセラミックブリッジの症例

金属を全く使用していないオールセラミックブリッジは

透明感があって自然な歯に近い色を出せ、強度もあるので壊れにくい

とてもいい材料です

奥歯で噛めるようにして欲しい
前歯の歯並びを奇麗にして欲しいという事で来院された患者さん
奥歯がないため前歯が出っ歯になってしまいました
専門用語でフレアアウトを起こしたといいます
1番の原因は奥歯がないままにしていた事
2番目は歯周病がかなり進行してしまった事です
横から見ると出っ歯具合がよくわかります

下の前歯4本はグラグラで今にも抜けそうです


治療計画は相談の結果
1 歯周病治療
2 下前歯4本抜歯 仮歯
3 奥歯インプラントでバーチカルサポートの確立
4 上前歯はリトラクション(部分矯正)して出っ歯の改善(引っ込める)
5 下前歯オールセラミックブリッジ完成
となりました

下の前歯4本抜いて

6本の仮歯を装着
傷が治る間に他の治療をすすめます

上の前歯を矯正で引っ込めたところで
最終的な支台歯形成

平行かつ均等に削ります
形成をみればその歯医者が上手いか下手かすぐ分かってしまいます
奥歯はインプラント埋入手術まで終わっています

傷が治ったところで型取り
オールセラミックブリッジ完成
金属を使用していないため
歯に近い色調を再現できます
奇麗になりました
これで笑うときに歯を隠さなくても大丈夫ですね

少しねじれを入れて作りました
まっすぐにするとスペースが足りなくて1本あたりが細い歯になってしまい
かっこ悪くなってしまうからです
お疲れさまでした