こんにちは さいたま市なると歯科院長の小林成人です
オールセラミッククラウンのケース
オールセラミッククラウンのケース
![]() |
| 右上5番に大きな虫歯があります |
![]() |
| なかなか大きそうですね |
![]() |
| 神経を取った後、グラスファイバーコアで土台を作り 2重圧排コードテクニックで型を取ります |
![]() |
| 歯肉縁下まで奇麗に取れています 患者さんには分かりにくいところですが 適合のいい、段差のない歯を作る為には、ここにこだわる必要があります |
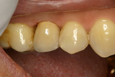
![]() |
| 完成したオールセラミッククラウン 透明感、発色が自分の歯に近い材料です |
![]() |
| 患者さんのご希望で、クラックラインも入れました 手前の歯に少しヒビが入っていたので、それを模倣しました 若い方はあまりヒビはありませんが、年を重ねるとヒビが増えてきます より自然に見えるように細部にもこだわっています 自費診療となっております 治療回数 8回 |






0 件のコメント:
コメントを投稿